- TOP
- お知らせ
News
-
医院ブログ2026/03/25
セラミックは痛い?沁みる?──治療前・治療中・治療後の“痛みの正体”を専門家が解説
-
医院ブログ2026/03/23
矯正治療をご検討の方へ|CT・セファロを活用した精密な矯正診断とは
-
医院ブログ2026/03/13
もう一度“しっかり噛める”毎日へ 再評価で見える新しい選択肢
-
医院ブログ2026/03/13
「根管治療」とは? -歯を抜かずに残すための大切な治療について-
-
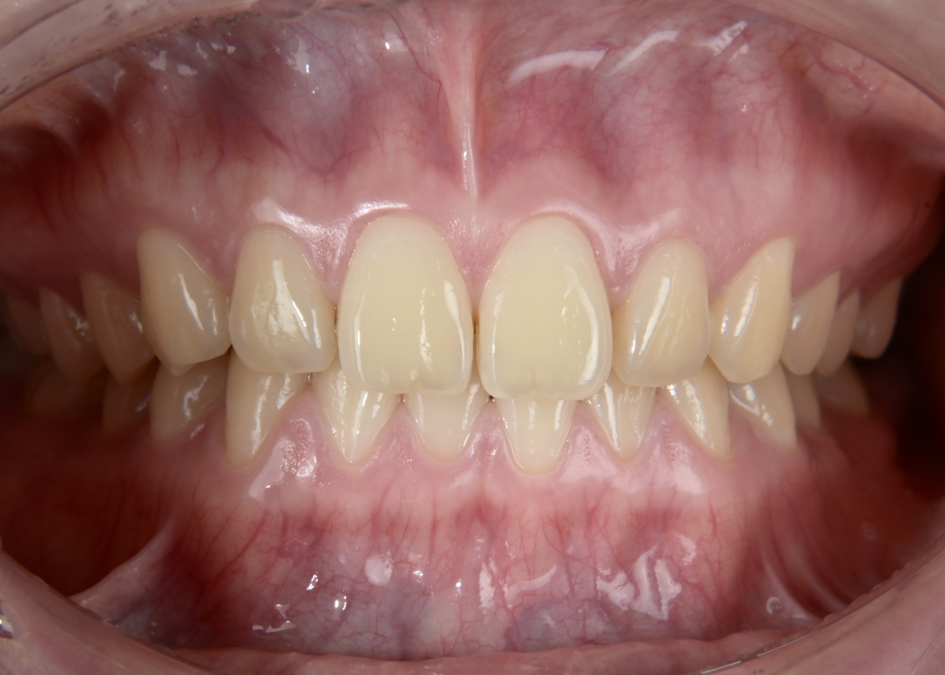
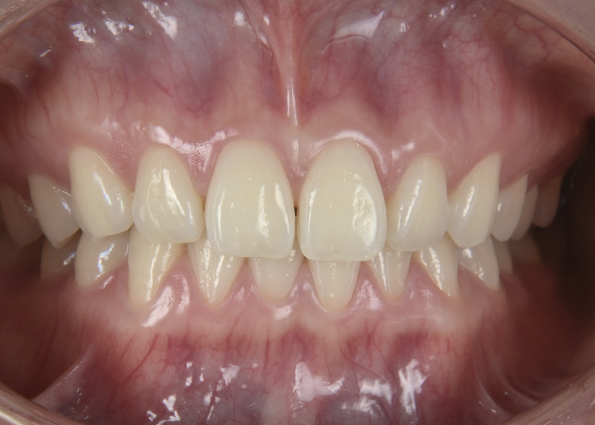
症例2026/03/10
デュアルホワイトニング
-
症例2026/03/10
インプラント治療 GBR
-
医院ブログ2026/02/27
自然な仕上がりを目指すセラミック治療― 寿命・痛み・メンテナンス・保証期間まで徹底解説 ―
-
医院ブログ2026/02/20
インプラント費用の考え方 ― 納得して選ぶための基礎知識 ―
-
医院ブログ2026/02/12
痛みや腫れが不安な方へ:インプラント治療の流れと負担軽減の考え方
-
医院ブログ2026/02/04
一人ひとりに合わせた歯科医療を



