横浜グランアズーリデンタルクリニック
平日9:00 ~ 12:00 / 14:00 ~ 18:00土曜9:00 ~ 12:30 / 14:00 ~ 17:00休診日木・日・祝
医院について
治療について
予防について
Web予約
TEL 045-953-1321
予防歯科についてはこちら
症例2026/03/10
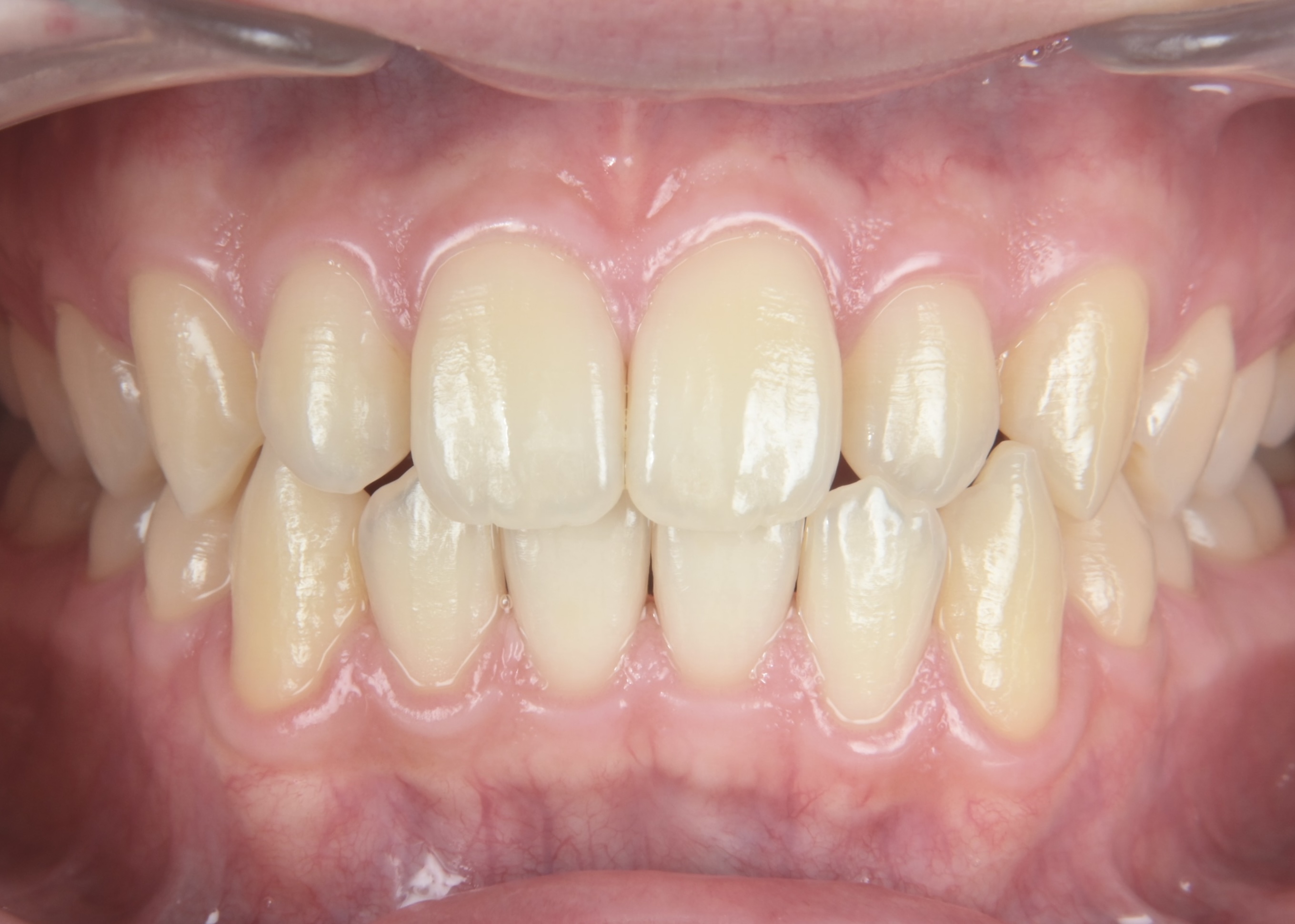
デュアルホワイトニング
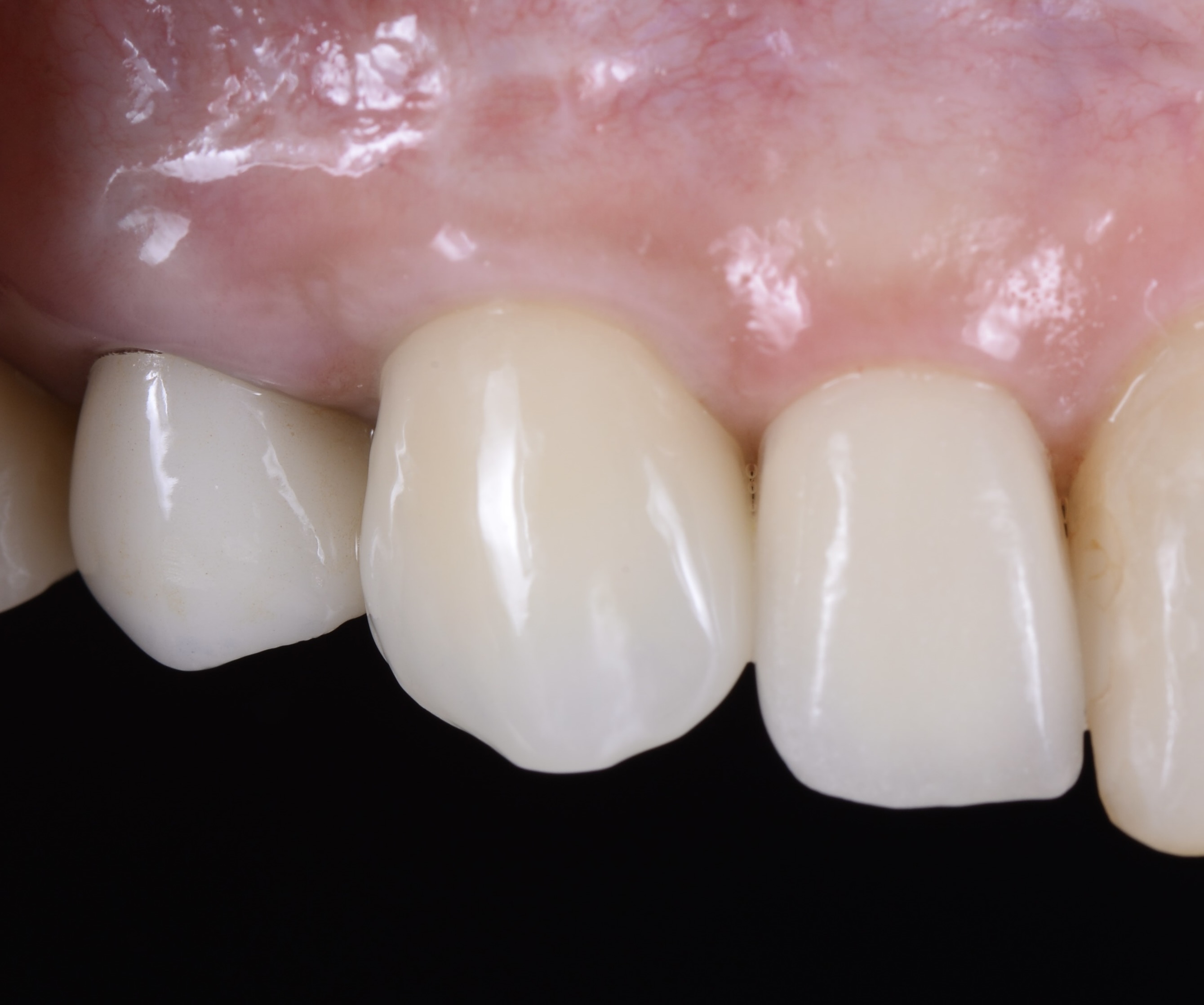
インプラント治療 GBR
症例2025/12/13
インプラント治療
ホワイトニング
症例2025/11/13
インプラント(単純埋入)
症例2025/10/27
インプラント(GBR&FGG)
症例2025/10/06
前歯インプラントSST(Socket Shield Technique))
症例2025/10/05
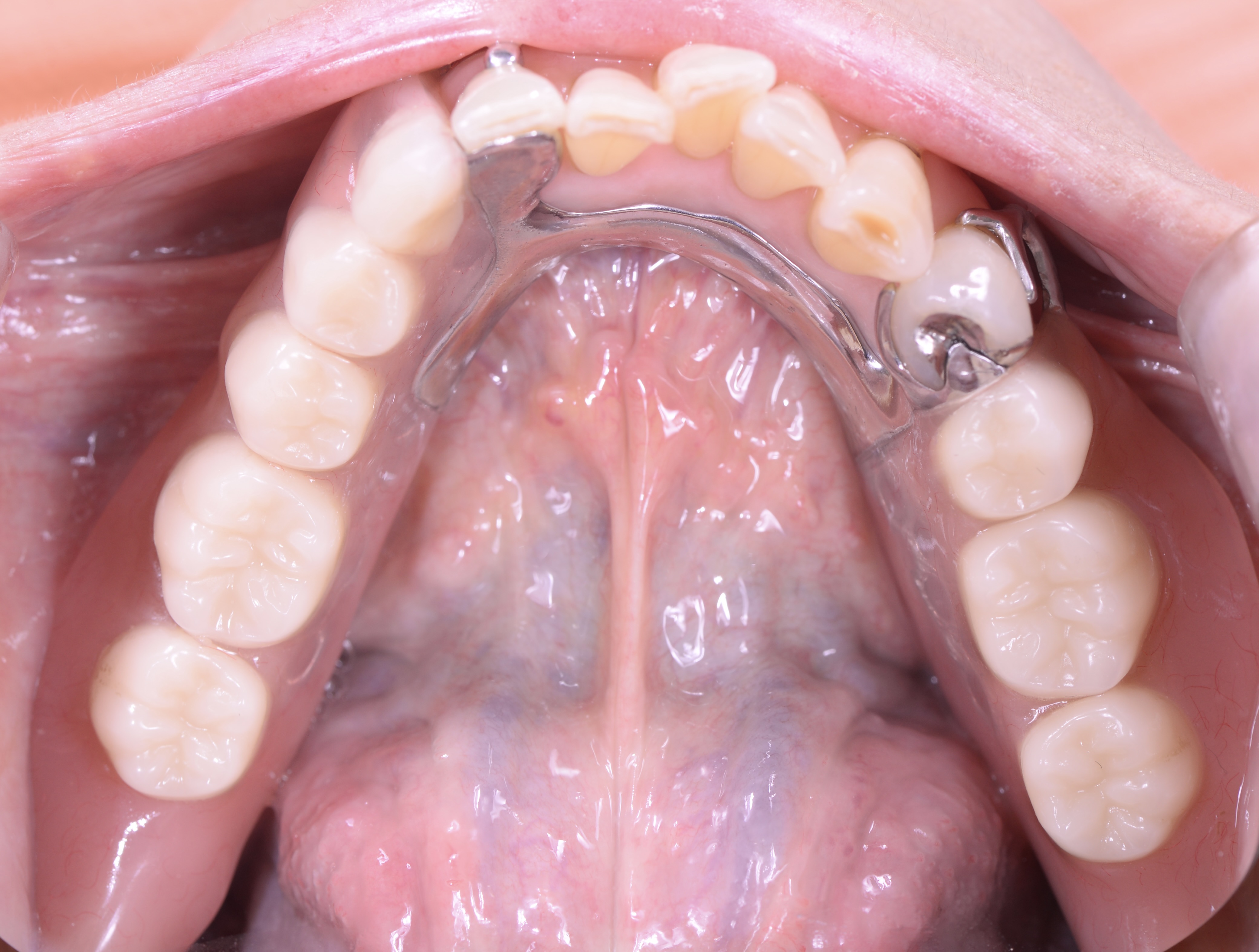
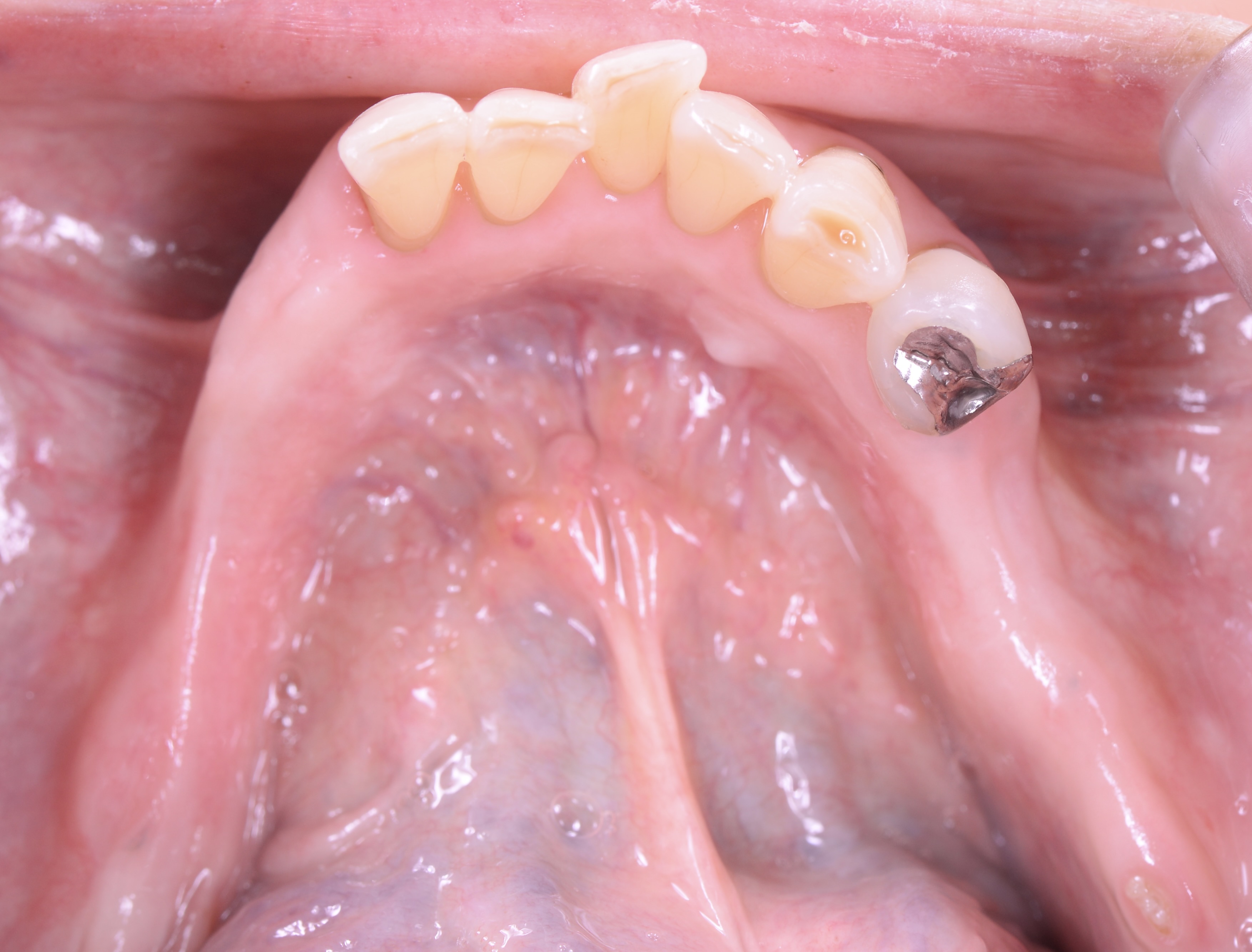
コバルト金属床義歯
症例2025/10/17
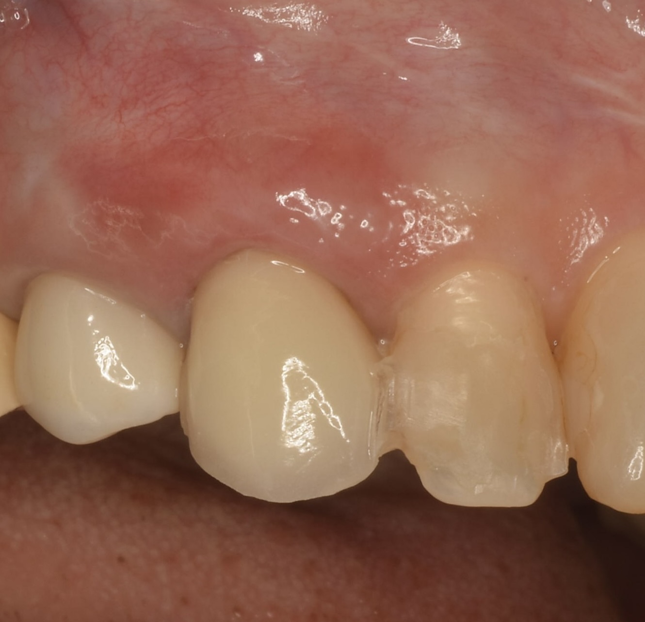
外傷(MTA&オールセラミッククラウン)
症例2025/09/21
インプラント(単純埋入2本)
<< 1 2 3 >>